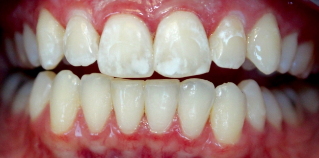
Почему на зубах появляются белые пятна и как их убрать
Белые пятна на зубах — это дефекты эмали. Эмаль — это тонкая, но очень твёрдая оболочка зуба. В основном она состоит из фосфата кальция, который делает её самой прочной тканью в организме. Если по какой?то причине эмаль разрушается или прекращает развитие, соединения начинает не хватать. В результате под поверхностным слоем появляются участки деминерализации. Свет отражается…







