Российские ученые узнали, как победить пародонтит

Коллектив ученых, в который вошли специалисты Самарского национального исследовательского университета имени академика Королева, представил метод быстрой диагностики ранней стадии пародонтита, позволяющий победить одно из самых опасных заболеваний полости рта.
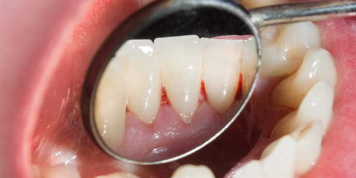
Пародонтит — воспалительный процесс в полости рта, способный провоцировать повреждение десен и корней зубов. Если не лечить пародонтит вовремя, то заболевание может серьезно разрушить зубы. Ключ к успешному лечению болезни — своевременная диагностика. Именно поэтому научная работа об экспресс-выявлении пародонтита является важной для медицины.
Ученые отметили, что пародонтит обычно диагностируется по изменению мягких тканей, которые окружают зубы, но такие изменения диагностируются, как правило, на поздних стадиях болезни, когда эффективность терапии ниже, чем на ранних этапах. Новый метод диагностики основан на применении компактного спектрографа, который позволяет производить исследование без непосредственного контакта с мягкими тканями вокруг зубов.
По словам Елены Тимченко, доцента кафедры лазерных и биотехнических систем Самарского университета и главы научно-исследовательской лаборатории тканевой инженерии, ученым удалось создать алгоритм верифицирования эмали при пародонтите, который работает в связке с диагностированием спектральных изменений в зубной эмали. Новая методика демонстрирует впечатляющую эффективность.
материал med2.ru







