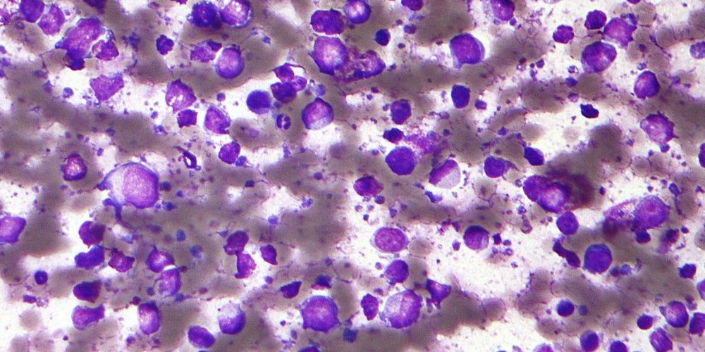
Недостаток холестерина убивает рака

Ученые из Северо-Западного университета разработали новую терапию для лечения рака. В ее основе лежит синтетическая наночастица, маскирующаяся под холестерин, необходимый клеткам. В результате раковые клетки начинают голодать и погибают.
Хотя в ходе исследования изучались клетки лимфомы, ученые говорят, что новое экспериментальное лекарство могло бы быть эффективным при других видах рака со схожим аппетитом к холестерину, таких как рак почек и яичников. Исследование было опубликовано в Journal of Biological Chemistry.
«Наша терапия нацелена на раковые клетки, которые зависят от поглощения холестерина и нарушают общий его баланс в клетке», — рассказывает соавтор исследования, доктор К. Шад Такстон, доцент кафедры урологии Северо-Западного университета. «Мы обнаружили, что клетка пытается компенсировать это, отключая пути, необходимые для выживания. Мы надеемся, что этот новый механизм поможет бороться с разными видами рака».
Терапия синтетическими биологическими наночастицами является первой в своем роде, нацеленной на раковые клетки, специфически модулирующих метаболизм клеточного холестерина, а затем запускающая этот новый способ уничтожения клеток. Кроме того, ученые показывают, что препарат не токсичен для нормальных клеток, у которых нет таких же нарушений метаболизма холестерина, как у раковых.
${number_format( Math.floor(Math.random()*1000000+300000), 0, ‘.’, ‘ ‘ )}
${number_format( Math.floor(Math.random()*100+21), 0, ‘.’, ‘ ‘ )}
`
preElement.appendChild( meta )
return block;
}
var content = document.querySelector( ‘.xfolkentryDesc’ ),
prePs = [].slice.call( content.children ),
elementPS = [],
ps = []
for( p in prePs ) {
ps.push( prePs[p] )
let brs = prePs[p].querySelectorAll( ‘br’ )
ps.push( …brs )
// console.log( ‘brs’, brs )
}
// console.log( ‘ps’, ps );
if( ps.length = window.innerHeight * 0.05) && (elemRect.top
материал med2.ru







