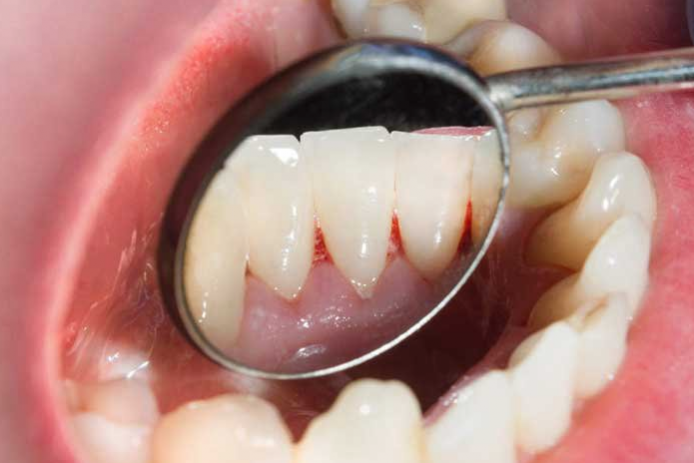
Почему болит и воспаляется десна: зуб мудрости, симптомы
Зубы мудрости или «восьмерки» завершают зубные ряды сверху и снизу. Сегодня зубы мудрости считают рудиментарными органными единицами, т.е. утратившими свою функциональность. «Восьмерки» – единственные зубы, которые закладываются и развиваются уже после рождения ребенка, а их рост приходится на 12-20 лет. Боль в деснах во время прорезывания зубов мудрости связана с нетипичным расположением корневой части –…





