Введение
Контактная гранулема (КГ) гортани — доброкачественное гипертрофическое поражение голосовых связок, основными причинами которого считается нарушение голосового поведения, эндотрахеальная интубация и гастроэзофагеальный рефлюкс [1]. КГ — относительно редкое, трудно поддающееся лечению заболевание гортани, на долю которого приходится 0,9–2,7% взрослых с проблемами голоса. Несмотря на отсутствие инвазивного потенциала, КГ характеризуется высокой склонностью к персистенции и рецидивированию, независимо от метода лечения. Исследования показывают, что частота рецидивов КГ колеблется от 37 до 97%. Персистенция и рецидивирование КГ объясняются ее многофакторной этиологией (заболевания желудочно-кишечного тракта, длительный интубационный наркоз, атакообразующий кашель и др.) [2].
Существует небольшое общее преобладание мужчин среди пациентов, страдающих КГ гортани [3]. Пациенты обычно жалуются на осиплость голоса, дискомфорт в горле, ком в горле, кашель, хроническое покашливание, боль в горле.
Прогноз заболевания считается благоприятным, поскольку поражения являются реактивными и не имеют подтвержденного злокачественного потенциала [4]. К сожалению, несмотря на благоприятный прогноз, рецидивы могут быть частыми и сложными для лечения. Как правило, в отношении КГ применяется консервативное лечение, которое включает в себя назначение диеты с ограничением, а иногда и с полным исключением раздражающих желудок продуктов питания, ингаляционной антибиотикотерапии, использование антибактериальных, гормональных смесей для ингаляций, внутригортанные вливания растворов с антибактериальным и противоотечным действием. Поэтому таким пациентам необходимо постоянное наблюдение, обычно с ларингоскопией во время лечения, чтобы гарантировать полное клиническое выздоровление.
Представляем собственное клиническое наблюдение пациента с КГ, торпидной к консервативному лечению, по результатам обследования которого высказано предположение о вероятной причине развития и поддержания патологического процесса (пациент подписал форму добровольного информированного согласия на публикацию медицинской информации).
Клиническое наблюдение
Пациент, 49 лет, по роду деятельности — адвокат (голосоречевая профессия), обратился в клинику с жалобами на локальную болезненность в области шеи слева (четко указывает локализацию источника боли — область малого рога подъязычной кости слева), периодическую осип-лость голоса, прогрессирующую ближе к вечеру, после длительной голосовой нагрузки. Из анамнеза выяснено: вышеописанные жалобы появились в августе 2023 г. 10.01.2024 обратился в Республиканский клинический онкологический диспансер МЗ РТ им. проф. М.З. Сигала с жалобами на дискомфорт в горле при глотании. Для верификации диагноза была взята биопсия из области задней трети левой голосовой складки. Результат гистологического исследования: в препарате фрагменты слизистой, покрытые гиперпластическим многослойным плоским эпителием с гипер- и паракератозом, акантозом, с фокусами изъязвления, наличием очагов кровоизлияний, элементов воспаления, групп эктазированных сосудов в субэпителиальной ткани. Пациенту была дана рекомендация проходить дальнейшее наблюдение у врача-оториноларинголога по месту жительства, лечение назначено не было.
Пальпация мягких тканей и органов шеи: отмечаются небольшое уплотнение, отечность области грудино-ключично-сосцевидной, трапецевидной мышц слева. Подъ-язычная кость несколько отклонена от срединной линии шеи влево. В ходе расспроса пациента было уточнено, что травм в области головы и шеи ранее он не получал.
Осмотр ЛОР-органов: нос: носовое дыхание умеренно свободное, слизистая оболочка полости носа несколько гиперемирована, несколько отечная, перегородка носа S-образно искривлена, патологического отделяемого нет. Зев: слизистая оболочка полости рта розовая, небные миндалины за дужками. Отоскопия: AD=AS: барабанные перепонки серые, блестящие, контуры четкие.
Проведена видеоэндоларингостробоскопия гортани (рис. 1) с использованием жесткого эндоскопа Xion. Слизистая гортаноглотки несколько гиперемированная, корень языка симметричен. Слизистая оболочка гортани умеренно гиперемированная, влажная, над входом в пищевод выражен отек слизистой. Патологического отделяемого нет. Надгортанник обычной формы. Грушевидные синусы и валлекулы не изменены, отмечается гиперемия слизистой оболочки этой области. Черпаловидные хрящи расположены несимметрично (дистопия правого черпаловидного хряща). Отмечается гиперемия и отечность межчерпаловидного пространства. Вестибулярные складки несколько утолщены, больше справа. Голосовые складки: в области задней трети левой голосовой складки визуализируется новообразование (гранулема), на противоположной правой голосовой складке — кратерообразная выемка (язва). Подвижность голосовых складок полная. При фонации линейная щель, гиперфункция вестибулярных складок, больше справа. Обозримый подголосовой отдел не изменен.

Данные компьютерной томографии (КТ) гортани (рис. 2): в проекции дорсальной трети левой истинной голосовой складки определяется образование размером 3,6×2,5×3,7 мм, контур четкий, выбухает в просвет складочного пространства в среднем до 0,8 мм; уплотнение плотно прилежит к голосовому отростку левого черпаловидного хряща, с локальной эрозией его контура глубиной до 0,9 мм, по периферии левый черпаловидный хрящ в данной области с остеосклерозом плотностью +215 HU (для сравнения: на контралатеральной стороне черпаловидный хрящ в данной области плотностью +73 HU и без остеосклероза).

Пациент был консультирован врачом-фониатром, выставлен диагноз: «контактная гранулема задней трети левой истинной голосовой складки». Назначено консервативное лечение: щадящий голосовой режим, консультация и коррекция терапии у гастроэнтеролога, ингаляционная терапия раствором антибиотика, антибактериальными, противоотечными смесями, прием антигистаминных препаратов. Данный курс лечения пациент повторил 2 раза, без положительной клинической и ларингоскопической динамики.
Обсуждение
Контактная гранулема гортани представляет собой доброкачественное образование, чаще всего локализующееся в задней трети голосовой складки. Несмотря на проводимое лечение, данная патология нередко приобретает хроническое рецидивирующее течение. В данной статье мы выдвигаем гипотезу о том, что одной из возможных причин персистенции и рецидивирования гранулемы может являться анатомическая асимметрия голосовых отростков черпаловидных хрящей.
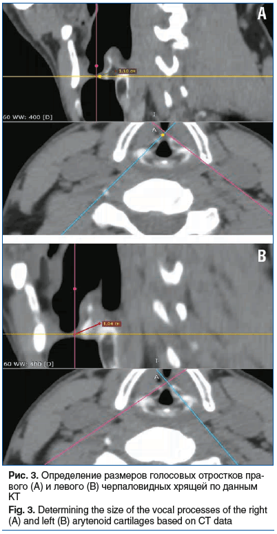
Учитывая длительность сохранения гранулемы на задней трети истинной голосовой связки (2,5 года), отсутствие положительной динамики от назначенной оториноларингологической и гастроэнтерологической терапии, мы предположили, что есть отягощающий фактор (в нашем случае это голосовой отросток правого черпаловидного хряща), который при фонации «травмирует» противоположный левый голосовой отросток, препятствуя купированию воспалительного процесса. При обследовании пациента было выявлено, что длина голосового отростка правого черпаловидного хряща составляет 1,10 см, в то время как слева — 1,04 см (рис. 3). Мы предполагаем, что более длинный правый голосовой отросток во время фонации оказывает повышенное механическое воздействие на область задней трети левой голосовой складки, где расположена КГ. Постоянная травматизация этой зоны может препятствовать полноценному заживлению и способствовать переходу хронического воспалительного процесса, ограниченного слизистой оболочкой, на хрящевые структуры гортани (голосовой отросток черпаловидного хряща), что обусловливает хронизацию процесса.

Данная гипотеза требует дальнейшего изучения, включая анализ большего числа клинических наблюдений с оценкой анатомических особенностей гортани у пациентов с рецидивирующими КГ. Подтверждение этой теории может открыть новые подходы к лечению, направленные не только на удаление гранулемы, но и на коррекцию биомеханических факторов, способствующих ее персистенции.
Заключение
Контактная гранулема гортани — доброкачественное, часто рецидивирующее заболевание, обусловленное множеством факторов, включая нарушение голосового поведения и анатомические особенности гортани. В частности, выявленная у пациента асимметрия длины голосовых отростков черпаловидных хрящей может способствовать постоянной механической травме и хроническому воспалению в области гранулемы, что препятствует ее заживлению и способствует рецидивам. Для эффективного лечения и профилактики рецидивов необходимо учитывать индивидуальные анатомические особенности гортани и разрабатывать комплексные подходы, включающие не только хирургическое удаление, но и коррекцию биомеханических факторов. Дальнейшие исследования с большим числом клинических случаев необходимы для подтверждения данной гипотезы и разработки новых методов терапии.
Сведения об авторах:
Шакурова Диляра Азатовна — к.м.н., доцент кафедры оториноларингологии ФГБОУ ВО Казанский ГМУ Минздрава России; 420012, Россия, г. Казань, ул. Бутлерова, д. 49; врач-оториноларинголог, фониатр ГАУЗ «ЦГКБ № 18 им. проф. К.Ш. Зыятдинова»; 420101, Россия, г. Казань, ул. Хусаина Мавлютова, д. 2; ORCID iD 0000-0003-4953-2465
Соловьева Ирина Васильевна — ординатор 2-го года обучения кафедры оториноларингологии ФГБОУ ВО Казанский ГМУ Минздрава России; 420012, Россия, г. Казань, ул. Бутлерова, д. 49; ORCID iD 0009-0004-2915-9434
Контактная информация: Шакурова Диляра Азатовна, e-mail: Ent.doc87@mail.ru
Прозрачность финансовой деятельности: никто из авторов не имеет финансовой заинтересованности в представленных материалах или методах.
Конфликт интересов отсутствует.
Статья поступила 11.08.2025.
Поступила после рецензирования 21.08.2025.
Принята в печать 29.08.2025.
About the authors:
Dilyara A. Shakurova — C. Sc. (Med.), Associate Professor of the Department of Otorhinolaryngology, Kazan State Medical University; 49, Butlerova str., Kazan, 420012, Russian Federation; otorhinolaryngologist and phoniatrist, Central City Clinical Hospital No. 18 named after Prof. K.Sh. Ziyatdinov; 2, Khusain Mavlyutov str., Kazan, 420101, Russian Federation; ORCID iD 0000-0003-4953-2465
Irina V. Soloveva — 2nd year Resident of the Department of Otorhinolaryngology, Kazan State Medical University; 49, Butlerova str., Kazan, 420012, Russian Federation; ORCID iD 0009-0004-2915-9434
Contact information: Dilyara A. Shakurova, e-mail: Ent.doc87@mail.ru
Financial Disclosure: no authors have a financial or property interest in any material or method mentioned.
There is no conflict of interest.
Received 11.08.2025.
Revised 21.08.2025.
Accepted 29.08.2025.
материал rmj.ru
