
16 июля 2018 года, 11:02
Ленточный червь, который обычно поражает собак и рогатый скот, шокирующим образом обнаружился в организме 35-летней француженки. Такой клиничекий случай был описан на прошлой неделе The New England Journal of Medicine.
В течение трех месяцев у неназванной женщины нарастала слабость в ногах. Когда она пришла в приемное отделение больницы, она с трудом стояла и часто падала без видимой причины. Во время обследования было установлено, что ее ноги начали утрачивать чувствительность, и она с трудом может согнуть ногу в голеностопном суставе.
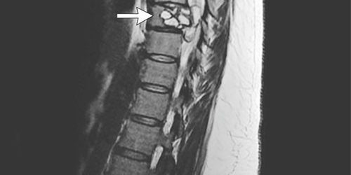
Анализы крови указывали на наличие какой-то инфекции. Но точную проблему не удавалось установить, пока магнитно-резонансная томография спины не показала поражение в IXгрудном позвонке.
При помощи хирургического вмешательства участок поражения был удален, дефект позвонка заменили протезом. Оказалось, что проблему вызвала личиночная форма собачьего цепня, которую также называют эхинококком (Echinococcusgranulosus).
Как видно из названия гельминта, червь обычно поражает собак (и некоторых других животных), но он может случайно попадать и в организм человека. Взрослые черви живут и размножаются в теле своего основного хозяина, собаки. Яйца червя выходят с фекалиями, попадают на почву и заглатываются травоядными животными. В их организме они добираются до тонкого кишечника, превращаются в цисты и с кровотоком заносятся в другие органы. Там они «ожидают» день, когда им посчастливится быть снова съеденными собакой, чтобы начать свой цикл развития заново.
Паразитам, попавшим в организм человека, обычно не везет, их цикл развития прерывается по понятным причинам. Однако цисты, попавшие в органы, могут приводить к серьезнейшим поражениям. Чаще всего эхинококк обнаруживают в печени или легких, но о случаях их попадания в центральную нервную систему и кости также известно. Человек может носить в себе паразитов многие годы, прежде чем болезнь даст о себе знать.
Врачи не могут точно сказать, каким образом пациентка получила гельминта. Отмечается, что ранее ей случалось контактировать с рогатым скотом. Описанный случай закончился практически настолько хорошо, насколько это было возможно. Через девять месяцев после операции и курса противопаразитарного лечения признаки инфицирования исчезли.






