Стероиды способны изменить форму мозга

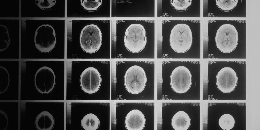
Исследователи из Нидерландов в ходе изучения мозга почти 25 000 человек пришли к интересному выводу. Форма мозга у употреблявших стероиды и не употреблявших их была различной.
Пациентам с астмой, артритом и экземой регулярно назначают препараты на основе стероидов. Их побочные эффекты хорошо известны, обычно они включают в себя тревожность, перепады настроения и депрессию. Однако учёные из Лейденского университета в Нидерландах обнаружили, что эти препараты, возможно, способны изменить структуру мозга, что подтвердило сканирование этого органа почти у 25 000 человек. Принимавшие глюкокортикоиды пациенты имели меньшее количество белого вещества — ткани, которая соединяет области мозга.
Нидерландские учёные полагают, что их открытие может объяснить связь этих препаратов с неврологическими проблемами. Хотя это и никогда не было доказано учёными, существует широко распространённое мнение о том, что некоторые калечащие неврологические симптомы вызываются стероидами. Новые исследования не доказало окончательной вины лекарств, однако выявило потенциальный механизм.
Вероятно, глюкокортикоиды вызывают изменения в головном мозге, но для подтверждения этих результатов необходимы дополнительные исследования. Глюкокортикоиды — это класс стероидов, которые используются для лечения астмы, артрита и экземы. Они эффективно уменьшает уровень воспалений и подавляют иммунную систему, но связаны с серьезными побочными эффектами, вроде гипертонии, диабета и ослабления костей.
${number_format( Math.floor(Math.random()*1000000+300000), 0, ‘.’, ‘ ‘ )}
${number_format( Math.floor(Math.random()*100+21), 0, ‘.’, ‘ ‘ )}
`
preElement.appendChild( meta )
return block;
}
var content = document.querySelector( ‘.xfolkentryDesc’ ),
prePs = [].slice.call( content.children ),
elementPS = [],
ps = []
for( p in prePs ) {
ps.push( prePs[p] )
let brs = prePs[p].querySelectorAll( ‘br’ )
ps.push( …brs )
// console.log( ‘brs’, brs )
}
// console.log( ‘ps’, ps );
if( ps.length = window.innerHeight * 0.05) && (elemRect.top
материал med2.ru







