Системная красная волчанка
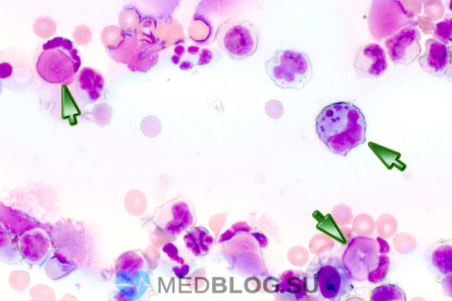
Системная красная волчанка, она же болезнь Либмана-Сакса (далее – СКВ) – аутоиммунное заболевание, при котором наблюдается явление аутоиммунитета в отношении соединительной ткани (антитела поражают клетки СТ человека и ее производных с поражением сосудов, входящих в состав микроциркуляторного русла). Название было получено в Средневековье по причине схожести типичного симптома СКВ (сыпь на переносице и щеках, по…
