
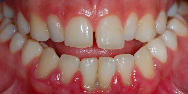
Воспаление десны является распространенной стоматологической проблемой, которая может развиться из-за плохой гигиены, бактериальной инфекции или как побочный эффект от лечения.
Это простой симптом, который можно определить невооруженным глазом, заметив изменения толщины и цвета десны.
Кроме того, оно может сопровождаться кровотечением, повышенной чувствительностью зубов и неприятным запахом изо рта.
Это связано с состоянием, известным как гингивит, которое считается первой стадией пародонтоза.
Он вызывается накоплением зубного камня, который не всегда удаляется во время чистки зубов и полоскания.
К счастью, существует большое разнообразие натуральных средств, которые могут стать профилактикой осложнений, одновременно снимая отек.
Действие этих натуральных рецептов должно быть усилено вашими обычными средствами гигиены, однако они помогут быстро облегчить боль и ускорить процесс восстановления.
1. Вода с солью
Полоскание для рта, приготовленное из воды с солью принесет облегчение, если у вас кровоточащие или воспаленные десны.
Соль обладает противовоспалительным и противомикробным действием, которое уменьшает количество бактерий в пораженной зоне.
Ингредиенты: 1 чайная ложка соли (5 г), ? стакана теплой воды (100 мл).
Что нужно делать?
Разведите чайную ложку соли в стакане теплой воды и полощите этой жидкостью рот в течение 30 секунд.
Не стоит глотать это средство, избыток соли может вызвать нежелательные реакции.
Используйте его 2-3 раза в день.
2. Пищевая сода с перекисью водорода
Пищевая сода и перекись водорода обладают свойствами антибиотика и содержат антимикробные соединения, которые предотвращают развитие различных видов инфекций.
Именно поэтому, это средство идеально подходит для контроля роста бактерий и того, чтобы уменьшить симптомы гингивита.
Ингредиенты: 1 чайная ложка соды для выпечки (5 г), 6 капель перекиси водорода.
Что нужно делать?
Смешайте соду с перекисью водорода и чистите зубы полученной пастой.
Вы также можете развести ее в небольшом количестве теплой воды, чтобы использовать в качестве жидкости для полоскания рта.
Повторяйте применение два раза в день.
3. Яблочный уксус
Натуральные кислоты яблочного уксуса помогают сбалансировать рН ротовой полости и изменяют окружающую среду, привычную для бактерий, вызывающих инфекции.
Его использование в качестве естественного полоскании помогает контролировать воспаление десен и неприятный запах изо рта.
Ингредиенты: 1 столовая ложка яблочного уксуса (10 мл), ? стакана теплой воды (100 мл).
Что нужно делать?
Размешайте яблочный уксус в теплой воде и полощите рот после чистки зубов.
Используйте это средство утром и вечером, каждый день.
4. Лимон
Щелочные и антибиотические свойства лимонного сока также полезны, если у вас воспаленные десны.
Его кислотные соединения помогают устранить вредные бактерии и уменьшают воспаление, вызванное инфекцией.
Ингредиенты: сок ? лимона, ? стакана теплой воды (125 мл).
Что нужно делать?
Выжмите лимонный сок и смешайте его с половиной стакана теплой воды.
Подержите во рту в течение 20 секунд и выплюньте.
Используйте это средство не чаще 2 раз в день.
5. Сок из черники
Черничный сок это напиток, богатый антиоксидантами, который укрепляет иммунную систему и снижает восприимчивость к инфекциям.
Его прием уменьшает отек и присутствие микробов, а также улучшает свертываемость крови.
Ингредиенты: ? стакана свежей черники (100 г), 2 стакана воды (500 мл), 1 столовая ложка меда (25г).
Что нужно делать?
Взбейте в блендере чернику с водой, подсластите небольшим количеством меда и пейте.
Рекомендуемая доза — 2-3 стакана в день.
6. Чабрец
Настой чабреца является противовоспалительным и успокаивающим средством, которое поможет контролировать боль, вызванную инфекцией в деснах.
Его использование в качестве средства для полоскания рта предотвращает бактериальный рост и развитие проблем, таких как гингивит и пародонтоз.
Ингредиенты: 2 столовые ложки чабреца (20 г), 1 стакан воды (125 мл).
Что нужно делать?
Вскипятите стакан воды и, когда дело она закипит, добавьте в нее чабрец и уменьшите огонь.
Оставьте еще на две минуты, снимите и подождите, пока отвар остынет.
Процедите и полоскайте рот, задерживая на 20-30 секунд.
7. Липовый чай
Липовый чай является успокаивающим напитком, который уменьшает воспаление и боль, вызванную заболеваниями полости рта.
Ингредиенты: 1 столовая ложка липового цвета (10 г), 1 стакан воды (250 мл).
Что нужно делать?
Положите столовую цветков липы в стакан кипятка и заваривайте 10 минут.
Процедите настой и полощите им рот 3 раза в день.
Следует отметить, что все люди разные, и эффективность этих средств может варьироваться в каждом конкретном случае, в зависимости от причины воспаления.
Они помогут снять острые симптомы, но все равно следует обратиться к стоматологу, чтобы предотвратить развитие более серьезных проблем.
материал med2.ru







